公司简介荣誉资质走进华峰公司新闻行业动态致病微生物检测系列试剂盒(恒温荧光法)致病微生物检测系列试剂盒(恒温显色法)致病微生物检测系列试剂盒(PCR-荧光探针法)致病微生物检测系列试剂盒动物源性检测系列试剂盒(恒温荧光法)动物源性检测系列试剂盒(实时荧光PCR法)动物源性检测系列试剂盒(PCR-荧光探针法)动、植物源性检测系列试剂盒猫疾病病原体检测系列试剂盒(PCR-荧光探针法)犬疾病病原体检测系列试剂盒(PCR-荧光探针法)猫犬共患疾病病原体检测系列试剂盒(PCR-荧光探针法)宠物疾病病原体检测系列试剂盒犬贫血相关病原体检测试剂盒套餐犬呼吸道症状疾病相关病原体检测试剂盒套餐犬蜱虫传播疾病相关病原体检测试剂盒套餐猫腹泻症状疾病相关病原体检测试剂盒套餐猫眼部疾病相关病原体检测试剂盒套餐猫繁殖性疾病相关病原体检测试剂盒套餐猫神经症状疾病相关病原体检测试剂盒套餐猫呼吸道症状疾病相关病原体检测试剂盒套餐猫口炎相关病原体检测试剂盒套餐粪便寄生虫检测试剂盒套餐宠物疾病症候群病原体检测试剂盒套餐水产养殖病害检测系列试剂盒(恒温荧光法)水产养殖病害检测系列试剂盒(PCR-荧光探针法)水产养殖病害检测系列试剂盒畜牧养殖病害检测系列试剂盒畜牧养殖病害检测系列试剂盒益生菌检测系列试剂盒(恒温荧光法)益生菌检测系列试剂盒通用型试剂及酶系列核酸提取系列试剂盒(磁珠法)核酸提取系列试剂盒(离心柱法)核酸提取系列试剂盒(煮沸法)核酸提取系列试剂盒(其他类)核酸提取系列试剂盒仪器设备其它产品技术原理技术优势操作流程自主创新技术背景公司专利发表文献专利与文献公司倡导的标准技术培训售后服务区域代理寻求合作联系方式客户留言

新闻资讯/News


公司新闻
行业动态
文章附图

12月26日,广州市工业和信息化局发布《广州市工业和信息化局关于2024年拟认定专精特新中小企业及2021年专精特新中小企业复核名单的公示》,经过严格评审和综合评估,广州DG视讯官网平台科技有限公司成功入。蝗隙ㄎ2024年广东省专精特新中小企业”。省级专精特新中小企业实现专业化、精细化、特色化发展,创新能力强,质量效益好,是优质中小企业的中坚力量。专精特新中小企业以专注铸专长,以配套强产业,以...

文章附图

2024年10月12日,受广东省农业农村厅兽药GMP委员会办公室委派,由3名兽药GMP专家和2名观察员组成的兽药GMP评审组现场验收团队对我司进行了兽药GMP现场检查验收。经检查组充分讨论,推荐广州DG视讯官网平台科技有限公司分子生物学类诊断制品(B类)(新建,动态)为兽医诊断制品GMP合格生产线。按照验收程序,我司总经理向专家组汇报了公司GMP运行情况。汇报结束后,专家组对公司生产车间、质检区、仓...

文章附图

2024年2月4日,DG视讯官网平台2023年度工作会议在广州莱迪九州厅顺利召开。会上,总经理作年度工作报告,全面阐述了一年来主要工作及经营情况,勉励各部门员工在2023年佳绩的基础上再接再厉,并结合当前面临的市场形势对2024年的经营规划进行了详细部署。各部门负责人依次围绕工作完成情况、存在问题、工作计划等方面进行了述职报告。2023年,在全体员工的努力和各界同仁的信任与支持下,公司各项工作进展顺...

文章附图

热烈庆祝广州DG视讯官网平台科技有限公司乔迁新址!18日上午,公司在新址举行乔迁庆典。在现场嘉宾与职员的见证下,公司总经理与股东一起揭牌,共同迎接崭新的开始。回顾过去,展望未来。庆典会议上,公司总经理与各股东分别就“新起点,新高度”主题发言,其中包含对2022年及近几年工作、经营情况的总结,也有对2023年及未来几年发展的展望,各部门负责人也进行了述职汇报,各抒己见。本次会议使全体员工更加知悉公司发...

文章附图

近日,广州DG视讯官网平台科技有限公司再次荣获由广东省科学技术厅,广东省财政厅、国家税务总局广东省税务局联合评选颁发的“高新技术企业”认证。DG视讯官网平台再次被认定为国家高新技术企业,再次荣获“国家高新企业”证书,这是继2009年被认定高新技术企业后,连续获此殊荣。高新技术企业是中国高科技企业最高荣誉之一,是国家对重点支持的高新技术领域内持续进行科技开发与技术成果转化研究企业的认可,是知识密集、技术密集的...

文章附图

2022年1月13-15日,公司于韶关经律论酒店召开2021年度工作总结会议。会上,公司总经理对2021年的经营情况进行了总结,并布置了2022年的工作计划,强调工作重点和任务,各部门负责人也进行了述职汇报。会议期间,公司全体员工一起游览酒店园内风景、攀登丹霞最高峰—长老峰、浸泡温泉、游览南华寺等。本次活动让大家在繁忙的工作之余能够充分放松,不仅丰富员工业余文化生活,激发工作热情,也能增进员...

上一页 1 2 3
...
下一页
文章附图

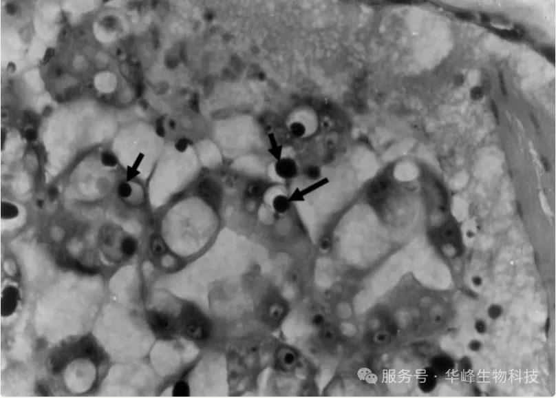
肝胰细小病毒 (HPV) 是虾主要的细小病毒之一,已知会导致对虾生长缓慢。在世界各地的野生和养殖对虾中都有发现 HPV,且不同地理分离株/宿主物种之间存在高度的遗传变异。鉴于其高流行率、广泛分布和在对虾养殖业造成巨大经济损失的能力,HPV 应该得到更多的关注。一、病 原 对虾肝胰腺细小病毒病是由肝胰腺细小病毒(HPV)感染引起的对虾疾。诓《痉掷嘀惺粲谙感〔《究(Parvoviridae)...

文章附图

罗氏沼虾具生长速度快、养殖周期短、食性杂、营养价值高以及经济效益好等优势,有“ 淡水虾王” 之称。随着养殖方式改变和养殖环境恶化, 罗氏沼虾养殖发病风险大大增加,涉及的病原种类复杂多样,涵盖细菌、真菌、寄生虫、病毒等。以下是几种常见的能够引起罗氏沼虾病毒性疾病的病毒介绍。一、虹彩病毒   (1)病原:病毒是虹彩病毒科(1ridoviridae)十足目虹彩病毒属(Decapodiridovir...

文章附图

头胸甲、鳃部、体表等部位有深黑色斑块是对虾感染镰刀菌的典型症状,其传播迅速,但发病死亡慢,病程长。此病:π约螅啻蔚贾露韵喝斯ぴ蕉氖О,近几年发病率有上升的趋势,应予重视。1、病原越冬期对虾病虾上已分离鉴定出4中镰刀菌(Fusarium):腐皮镰刀菌(F.solani)、尖孢镰刀菌(F.oxysporum)、三线镰刀菌(F.tricinctum)和禾谷镰刀菌(F.graminearu...

文章附图

PCR技术,是一种在DNA聚合酶作用下体外扩增特异DNA片段的技术。一个PCR反应过程分为很多的步骤,同时也受到很多因素的影响。当确认反应中其他组分没有问题的情况下,例如已添加了适当浓度的PCR试剂(引物、dNTP、Mg2+、Taq聚合酶等),但PCR反应仍不理想,扩增效率低,则反应中很可能存在抑制成分。一、PCR反应中抑制物来源 PCR抑制物是指那些能够干扰或阻止PCR反应正常进行的物质。...

文章附图

冻干型核酸检测试剂由于具有可常温储运、操作简便(无需繁琐反应体系配制)、性能稳定等特点,越来越广泛应用于分子生物学实验。接下来,小编对DG视讯官网平台冻干型核酸检测试剂(PCR/ RT- PCR荧光探针法)的实验操作注意事项及试剂储存条件做一介绍。一、操作注意事项1. 实验操作前把所需物品准备齐全;2. 实验室应严格分区操作,各区物品应专用,不得交叉使用,避免污染;3. 从密封袋中取出试剂后应及时做...

文章附图

鳜鱼、加州鲈、乌鳢(生鱼)是我国重要的淡水优质养殖鱼类,其养殖业发展迅速,为我国水产养殖业提质增效发挥了重要作用。但随着养殖规模的不断扩大,养殖鱼类病害问题也日渐突出。长期以来,病毒病都是鳜鲈鳢等鲈形目鱼类养殖中的“第一杀手”。本文将逐一介绍鳜鲈鳢的4种常见病毒性病害,方便大家更加清楚认识相关病毒病。一、细胞肿大病毒病  大口黑鲈肝肾肿大病症状【病原】传染性脾肾坏死病毒(Infectious...

上一页 1 2 3
...
下一页
在线客服
 
 
 
 
 广州DG视讯官网平台
 技术咨询与交流
 工作时间
周一至周五 :9:00-17:30
周六至周日 :10:00-17:00
 联系方式
客服热线:020-32053606
技术售后服务:020-32299993
邮箱:sales@gsbkzy.cn
【网站地图】【sitemap】